Incrustaciones

Incrustaciones

Una incrustación dental es un tratamiento odontológico restaurador diseñado para reparar dientes dañados o debilitados, especialmente aquellos que no requieren una corona completa. Estas incrustaciones son piezas personalizadas, fabricadas a medida, que se colocan en la superficie del diente afectado para restaurar su forma, función y estética. Este procedimiento se utiliza principalmente en casos de caries extensas o fracturas dentales donde una restauración convencional no sería suficiente para brindar durabilidad. Las incrustaciones pueden ser confeccionadas en materiales como porcelana, resina compuesta o metales nobles, dependiendo de las necesidades del paciente y de la estética deseada. Además de ser altamente resistentes y duraderas, las incrustaciones ofrecen un ajuste perfecto al diente, lo que reduce el riesgo de filtraciones o caries secundarias. Son una solución ideal para preservar la estructura dental sana y garantizar una sonrisa funcional y natural. Si necesitas más información o deseas saber si una incrustación es adecuada para ti, no dudes en consultarnos. ¡Estamos aquí para cuidar tu sonrisa!

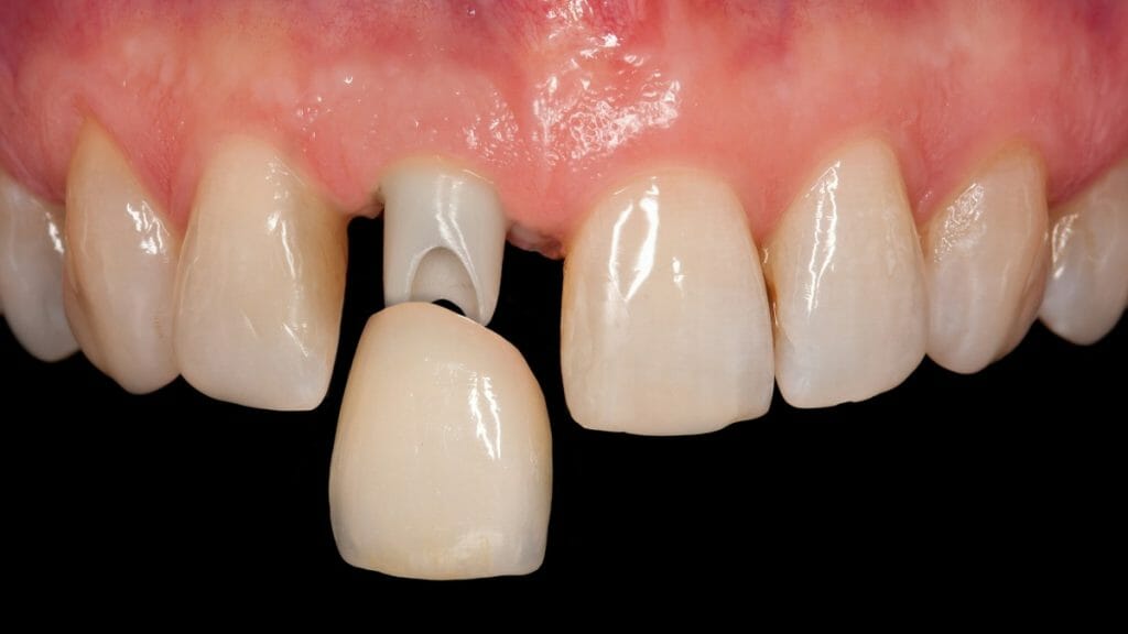
Corona dental

Coronas

Las coronas dentales son soluciones personalizadas diseñadas para proteger dientes dañados, restaurar su funcionalidad y mejorar su apariencia. Fabricadas con materiales duraderos y estéticos como porcelana o zirconio, ofrecen resultados naturales y resistentes. En nuestro consultorio, evaluamos tus necesidades para crear una corona que se adapte perfectamente a tu sonrisa. Ideal para cubrir dientes debilitados, tratados con endodoncia o con grandes restauraciones, nuestras coronas combinan tecnología avanzada y atención personalizada. ¡Agenda tu cita y descubre cómo devolverle la fuerza y belleza a tu sonrisa!

Prótesis implanto asistida

Prótesis implanto-asistidas

Estas prótesis se apoyan en implantes dentales, lo que garantiza una fijación segura y duradera. En nuestro consultorio, diseñamos cada prótesis de forma personalizada, adaptándola a tus necesidades para recuperar la función masticatoria, la estética y tu confianza al sonreír. Es la alternativa ideal para quienes buscan una solución fija y resistente. ¡Contáctanos para transformar tu sonrisa con tecnología de vanguardia y cuidado especializado!

Prótesis removibles

Prótesis removibles

Dispositivo dental diseñado para reemplazar dientes perdidos y restaurar tanto la función como la estética de la boca. Como su nombre lo indica, puede ser retirada y colocada nuevamente por el paciente, a diferencia de las prótesis fijas, que están permanentemente ancladas en la boca. Existen diferentes tipos de prótesis removibles: Prótesis completas removibles, se utilizan cuando el paciente ha perdido todos los dientes en una arcada (superior, inferior o ambas). Prótesis parciales removibles, se utilizan cuando solo faltan algunos dientes. Suelen estar hechas de una base de acrílico que se combina con una estructura metálica para darle estabilidad. Se sujetan a los dientes naturales restantes mediante ganchos o sistemas de fijación

Vos también, animate a sonreír!

Contacto

Gorriti 5399, Palermo Soho, CABA
Atención de lunes a sábado
11-6574-8079

Brindamos atención con turno previo.