Limpieza Periodontal

Limpieza periodontal

Es un tratamiento dental especializado que elimina el sarro y las bacterias acumuladas debajo de las encías. Ayuda a tratar problemas como la gingivitis o la periodontitis, evitando el daño a los dientes y huesos. Es más profunda que una limpieza regular y se realiza por etapas para proteger tu salud bucal

Gingivectomia

Gingivectomia

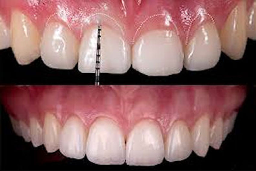
La gingivectomía es una intervención rápida, previsible e indolora que consiste en eliminar el exceso de encía por motivos estéticos, protésicos o como parte de un tratamiento de periodontitis. En ambos casos la gingivectomía se realiza cuando una parte importante de los dientes está cubierta por las encías y éstos parecen muy pequeños o poco naturales

Alargue de Corona

Alargue de corona

El alargamiento de corona clínica es un procedimiento odontológico que se realiza para exponer una mayor superficie del diente. Es útil en casos donde la corona del diente está oculta por encía o hueso, permitiendo mejorar la estética, restaurar un diente dañado o facilitar la colocación de una prótesis.

Vos también, animate a sonreír!

Contacto

Gorriti 5399, Palermo Soho, CABA
Atención de lunes a sábado
11-6574-8079

Brindamos atención con turno previo.