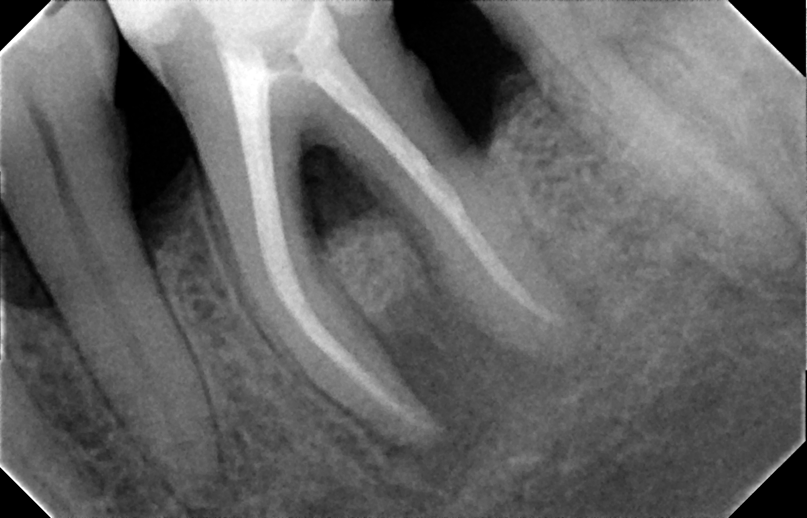
Tra tamiento de conducto

Tratamiento de conducto

Es un tratamiento que consiste en la remoción de la pulpa dental con fines de salvar o preservar un diente en boca al remover tejido nervioso muerto o afectado por alguna lesión traumática o cualquier otro factor.

Retratamiento de conducto

Retratamiento de conducto

El retratamiento de conducto implica limpiar nuevamente los conductos dentales, debido a que se generó un proceso infeccioso interno producto de una obturación defectuosa, fractura o filtración, de esta forma se evita dolor, inflamación o pérdida de la pieza dental afectada.

Rehabilitación post endodoncia

Rehabilitación post endodoncia

Cada caso exige un tratamiento de acuerdo a la cantidad de paredes afectadas del diente, para ello, contamos con diversas técnicas de rehabilitación dental y con materiales específicos según el caso. La rehabilitación dental puede realizarse mediante el área de odontología general con resina fotocurada o por el área de prótesis a través de una incrustación o corona.

Vos también, animate a sonreír!

Contacto

Gorriti 5399, Palermo Soho, CABA
Atención de lunes a sábado
11-6574-8079

Brindamos atención con turno previo.